"Whole Brain Average"

Whole Brain Average

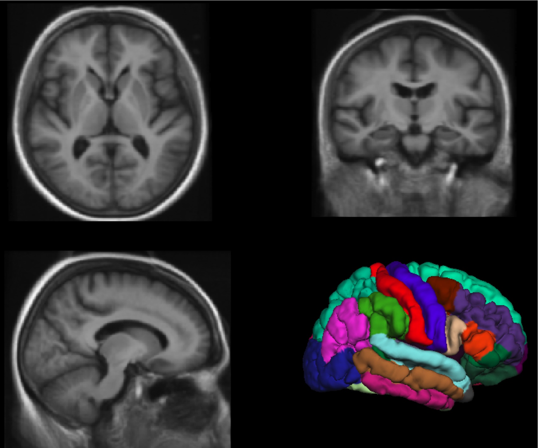
We are working on methods for constructing average brain atlases using large deformation image registration. Current volume-based brain atlases have difficulty representing the complex and convoluted folding patterns of the cerebral cortex; using multi-structure whole brain registration we can account for much of the inter-subject variability and represent the average cortical and subcortical features much more accurately.

Relevant publications

Khan, A., Beg, M. F. 2009
Multi-structure whole brain registration and population average
Accepted in IEEE Engineering in Medicine and Biology Conference (EMBC 2009) (Paper No.: 2182).